Lyyeto® Focussmile bee venom treatment powder for oral use
Doctors reveal the truth: How this ‘oral rejuvenation’ powder stops gum disease and reverses the damage!

Thanks to a breakthrough gum repair method developed by researchers at University of Manchester, Lyyeto® contains tideglusib, which activates gum stem cells and stimulates tissue regeneration.
Gum disease so bad that you can hardly recognize your own smile in the mirror.
But it wasn’t until earlier this year that I cracked the code to truly reverse gum disease and regenerate lost oral tissue.
Shocking cause of persistent gum inflammation
What if I told you that your gum disease is not just about surface bacteria or poor brushing habits?
Conventional treatments often only treat superficial symptoms or provide temporary relief without addressing the underlying bacterial imbalance and tissue breakdown at the root of the problem. Traditional approaches, from special toothpastes to painful deep cleanings to invasive surgery, often fall short. They leave you trapped in a cycle of disappointment, pain and frustration by addressing visible symptoms without truly curing the underlying biological cause. This neglect allows chronic inflammation and bacterial destruction to continue their destructive march beneath your gum line.
Here’s the bad news…
When gum disease progresses, it is not just physical discomfort, but a chronic crisis that affects psychological well-being, social confidence and overall quality of life. Those affected live with the ever-present fear of tooth loss and invasive dental procedures. Visible symptoms such as receding gums and bad breath can affect self-image, make smiling a source of anxiety and lead to painful isolation and loneliness. This chronic struggle creates fertile ground for depression and hopelessness. Other solutions fail because they don’t enable your body to heal itself from the inside out.
So what is the solution?
You need a solution that goes beyond temporary solutions. A solution that not only cleans, but actively neutralizes deep-seated bacteria, calms chronic inflammation on a cellular level, and provides the biological building blocks to regenerate lost gum tissue and even repair tooth structure.

Most experts advise invasive procedures such as scaling, root planing or even surgery, which are associated with risks and often lead to further gum recession and unpredictable results. Even following exacting daily hygiene routines with standard toothpastes and mouthwashes only tackles the superficial symptoms and not the real problem. This endless cycle makes people feel like they are losing more of themselves with each passing day.
Fortunately, there is a better solution!
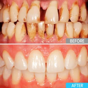
Reverse Gum Disease Regain your smile at home in just a few minutes a day

Lyyeto® Focussmile Bee Venom Treatment Oral Powder is a breakthrough treatment that combines a proprietary 5-in-1 synergy of bioactive ingredients that target the root causes of gum disease while stimulating actual tissue regeneration – both gum and tooth structure. It’s like stem cell therapy for your mouth, working at a cellular level to naturally regenerate lost gum and tooth tissue.
This unique formulation has been developed to:
✅ Provides immediate relief from gum inflammation and pain, soothes existing inflammation, reduces swelling and provides relief.
✅ Dissolve plaque and tartar with its powerful antibacterial and anti-inflammatory properties that directly target destructive pathogens.
✅ Repairs the gums naturally within just one week. Customers report visible improvements such as less redness, swelling and bleeding within just 7 days as powerful regenerative ingredients initiate the healing process.
✅ Activate the cells for gum tissue regeneration by providing the necessary building blocks and signals for your body to rebuild what it has lost.
✅ It is safe for sensitive teeth and gums as its main ingredients are known for their soothing, anti-inflammatory and decongestant properties, creating an optimal environment for healing.
What you can expect
Day 1 – Let’s get started
-Immediate relief from pain and inflammation sets in and your gums begin to calm down.
– The effective ingredients have an anti-inflammatory effect and initiate the healing process.
– Use the powder daily as directed.
Day 3 – Visible healing
-You are likely to notice a significant reduction in redness, swelling and bleeding.
-Many customers report seeing and feeling visible improvements after just 7 days as the powerful regenerating ingredients work their magic.
-Consequence is the secret to success for lasting gum regeneration.
Day 5 – Restored strength
-Your gums will feel firmer and healthier with improved resilience.
-The formula actively promotes collagen synthesis to strengthen the tissue of your gums.
Day 8 – Renewed self-confidence
-Experience significantly regenerated gum tissue and a strengthened tooth structure.
-You will regain the confidence to smile, eat and socialize without embarrassment.
All you need to do to kick-start your body’s natural oral regeneration is to use this powerful powder for just a few minutes every day. Just let the synergistic blend of scientifically proven ingredients work at a cellular level and give your mouth everything it needs to heal from the inside out.
Imagine having healthy, firm gums and strong teeth without having to deal with endless dentist appointments or invasive, painful procedures. That’s the dream of every person I’ve worked with who has struggled with gum disease, and I know you can experience just that.
Here’s what Owen Young, 39, says about his experience with Lyyeto® Focussmile:
“I was very concerned about my receding gums and periodontal disease, which was not only causing severe sensitivity but also weakening the structure of my teeth. I discovered Lyyeto® Focussmile Bee Venom Treatment Oral Powder through a recommendation from family, and I have been using it consistently for 5 days. The results are impressive – my gum sensitivity has gone down and I no longer have that stinging pain with hot or cold drinks. My gums and teeth feel firmer and I can tell that it is helping to support and restore the structure of my teeth. I feel confident that I am not only preventing further gum recession but also strengthening my teeth. I can finally enjoy my morning coffee without discomfort, which is a great relief!”
Or look at the difference it made for Abigail, who struggled with gum disease for years and finally found a solution


💭Think about your oral health now….
How much would it be worth to you to live your life with the healthy, confident smile of your dreams without ever having to endure another painful dental procedure or waste money on temporary solutions? How would it feel to literally reverse the signs of aging in your mouth and regain the youthful, strong gums and teeth of your prime? To be happy, walk with confidence and finally feel comfortable in your skin again?
This feeling is priceless. And I look forward to you experiencing it for yourself.
IMPORTANT: You will not find Lyyeto® Focussmile products in department stores, on Amazon or eBay.
That’s because at Lyyeto® we don’t want middlemen driving up prices. So you will never pay the inflated prices you would expect for such a revolutionary product. Our mission with Lyyeto® Focussmile is to make innovative oral regeneration solutions accessible to as many people as possible.
And that’s why you no longer have to invest hundreds of £ to get your hands on this revolutionary technology.
In fact, you don’t even have to invest £150.00 because that’s the price we quote on our official Lyyeto® website. Many, myself included, still consider this a bargain for the profound, lasting relief it offers.
UK Bee venom from pollutant-free extraction
Our extraction process ensures that the bees are neither harmed nor killed, thanks to an innovative technology that safely captures the bee venom. We use ether to gently anesthetize the bees so they can naturally expel the honey and venom without distressing themselves. Once the ether has dissipated, the bees return to their hives unharmed. This humane method has been refined over decades of careful breeding in UK and guarantees bee venom of the highest quality.

What makes the Lyyeto® Focussmile Bee Venom Treatment Oral Powder the GREAT CHOICE:

✓ Approved and recommended by dentists.
✓ Effectively treats a comprehensive range of oral problems.
✓ Fights plaque, bad breath, receding gums, bleeding gums and more.
✓ Side-effect free formula made from 100% natural herbs.
✓ CE approved and safe for consumption
✓ Suitable for all ages, including children, young adults and seniors
✓ Lyyeto® Focussmile Bee Venom Treatment Oral Powder is backed by the latest advances in oral care technology.
✓ It provides a convenient addition to the daily hygiene routine for long-lasting results.
✓ Economical and affordable, offering a cost-effective solution to maintaining optimal oral health.
Instructions for use
1. turn the container and remove the protective cover.
2. take a suitable amount of tooth powder and place it on the lid.
3 After soaking your toothbrush in water, dip it into the tooth powder.
4. brush your teeth as usual for 2 to 3 minutes and then rinse your mouth thoroughly.
FAQ
- What is Oral Powder?
Lyyeto® Oral Powder is a dental care product that serves as an alternative to toothpaste. To use it, dip a damp toothbrush into the powder or sprinkle a small amount on the brush and brush as usual. - Can people with sensitive teeth use Oral Powder?
Yes, Lyyeto® Oral Powder uses high quality bee vein powder along with a natural, gentle formula specifically designed for sensitive teeth. It penetrates deep into the exposed dentinal tubules that may contain sensitive nerve endings, effectively preventing pain at the source. It is designed to protect sensitive areas of the teeth and with continued use it can relieve sensitivity symptoms for up to 24 hours. - Do I need to brush with toothpaste after using Tooth Powder?
Lyyeto® Oral Powder is formulated to provide a complete clean and improve oral health, so it is not necessary to use toothpaste afterwards. However, if you prefer the added benefits of fluoride or a fresher feeling, you can use a small amount of toothpaste afterwards. - Is there a chemical odor during use?
No, Lyyeto® Oral Powder is made from an all-natural, alcohol-free and chemical-free formula that minimizes exposure to potentially harmful chemicals. It has a refreshing mint flavor when used. Our goal is to offer healthier and more environmentally friendly options, and the container and lid of Lyyeto® Oral Powder are recyclable. - Should it be used on mouth sores, will the affected area experience a burning sensation?
No, Lyyeto® Oral Powder is made from a gentle formula and does not cause a burning sensation like other alcohol-based oral care products. Lyyeto®’s powerful bee vein formula targets plaque and other foreign substances, reducing the risk of problems such as bad breath, gingivitis, tooth decay, tonsil stones and mouth ulcers.
PACKAGE INCLUDED
Welcome to LimetowShop – Your Trusted Global Online Shopping Destination
Since 2019, LimetowShop has been connecting shoppers worldwide with high-quality, innovative, and trending products. We are dedicated to delivering a seamless e-commerce experience, offering exceptional customer service, competitive prices, and fast, reliable shipping. Our carefully curated selection covers the latest must-have items, making us the go-to choice for value, quality, and convenience in global online shopping.
Shipping Details
At LimetowShop, we understand the value of fast and reliable delivery. All orders are processed within 3 to 5 business days, with standard shipping times of approximately 2 to 3 weeks depending on your location. From order confirmation to final delivery, we provide regular updates to ensure transparency, trust, and peace of mind for every customer.
Easy Returns
Shopping with LimetowShop is completely risk free. If any product does not meet your expectations, our simple return policy allows you to request a return within 30 days. Customers are responsible for return shipping, and our friendly support team is always ready to guide you through every step, ensuring a smooth and stress free experience.
100% Money-Back Guarantee
Your satisfaction is our top priority and at LimetowShop we back every order with a 30 day money back guarantee. If you are not completely satisfied, whether you prefer a replacement or a refund, our team will handle it quickly. We are dedicated to delivering a reliable and seamless shopping experience for every customer.
TERMS & CONDITIONS REFUND & RETURNS POLICY PRIVACY POLICY CONTACT US
Disclaimer: This product is not intended to diagnose, treat, cure, or prevent any disease. Individual results may vary. This product is designed for general wellness and personal care use only. Please consult a qualified healthcare professional before use, especially if you have a pre-existing medical condition, are pregnant, or are taking medication.


































