Rolimey® VioGloss Bee Venom Dental Therapy Oral Power
More than 120,000 customers have solved the following oral health problems

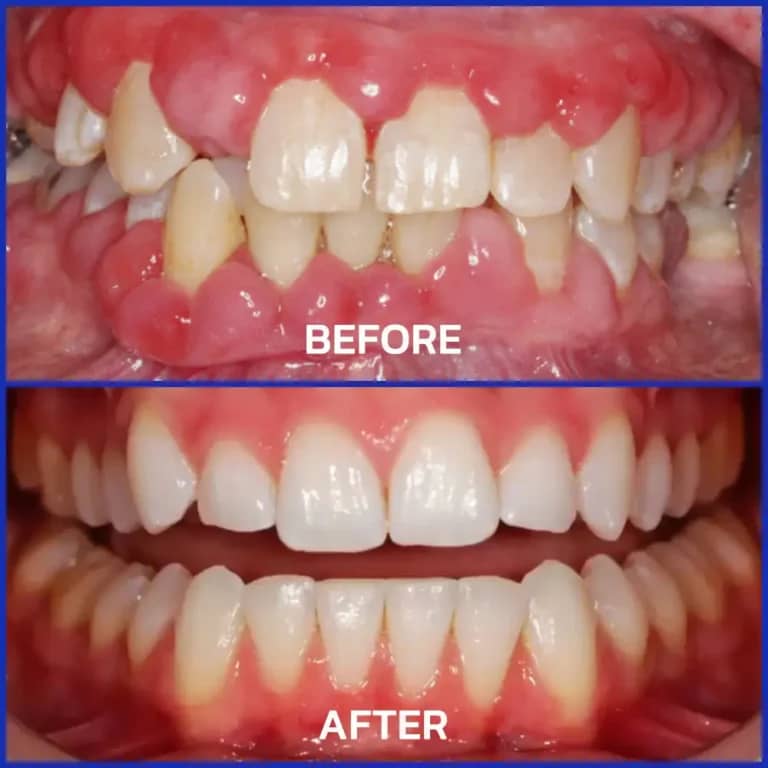
98.6% of customers are satisfied with the results
“I was very concerned about my receding gums and periodontal disease , which was not only causing severe sensitivity but also weakening the structure of my teeth. I discovered Rolimey® VioGloss Bee Venom Oral Power Dental Therapy through a family recommendation, and I’ve been using it consistently for the past 5 days . The results are impressive – my gum sensitivity has decreased , and I no longer experience that stinging pain from hot or cold drinks . My gums and teeth feel firmer, and I can tell it’s helping to support and restore the structure of my teeth. I have the confidence that I’m not only preventing further gum recession but also strengthening my teeth. I can finally enjoy my morning coffee without discomfort, which is a huge relief!” – Owen Young, 39

Periodontitis and gum recession – what is it?


How does Rolimey® VioGloss Bee Venom Dental Therapy Oral Power work for periodontitis?
Step 1: Remove plaque and dissolve existing tartar
Rolimey® VioGloss Bee Venom Dental Therapy Oral Power is specially formulated to not only remove plaque but also dissolve stubborn tartar deposits. Its advanced formula softens and breaks down hardened tartar using the antibacterial and enzymatic properties of bee venom . Melittin , a powerful peptide found in bee venom , weakens the bonds within tartar deposits, allowing them to be naturally removed during brushing. This process prevents further irritation and creates a smoother surface on the teeth, reducing the risk of plaque re-deposition and promoting long-term oral health.
Step 2: Instantly reduce inflammation and relieve pain

Step 3: Healthy gum regeneration in 7 days

Thanks to a groundbreaking gum repair method developed by researchers at Heidelberg University , Rolimey® contains Tideglusib, which activates gum stem cells and stimulates tissue regeneration.


Step 4: Lifelong gum protection


Stimulation of tooth growth

Natural, comprehensive dental care – “liquid gold” from Natural Bees

Bee venom : Known for its antibacterial and anti-inflammatory properties, bee venom fights bacteria and inflammation in the mouth while promoting tissue regeneration. This effective ingredient supports gum health, helping to soothe irritation, heal damaged tissue, and promote overall dental well-being.
Coenzyme Q10 : Recognized as a breakthrough in oral care, this highly effective antioxidant accelerates gum tissue regeneration and minimizes inflammation, promoting healthier gums and supporting overall dental health for a revitalized, refreshed smile.
Hyaluronic Acid : An innovative fusion of hydration science, this molecule nourishes and regenerates gum tissue, accelerates oral healing, and maintains optimal moisture levels for improved tissue regeneration and overall gum vitality.
Vitamin C : Derived from nature’s most potent sources, this powerful antioxidant boosts collagen production, strengthens gum strength and resilience, and accelerates tissue repair for a healthier, more empowered smile at the cellular level.
Tideglusib : Tideglusib is a revolutionary active ingredient that taps into the body’s natural repair mechanisms and enhances tooth regeneration by stimulating dentin growth. This restores and strengthens damaged teeth from within, leading to long-term oral health.
Germany Bee venom from pollutant-free production
Our extraction process ensures that the bees are neither harmed nor killed, thanks to an innovative technology that safely captures the bee venom. We use ether to gently anesthetize the bees, allowing them to expel the honey and venom naturally and without distress. Once the ether has dissipated, the bees return to their hives unharmed. This humane method has been refined over decades of careful breeding in Germany and ensures the highest quality bee venom.

What makes Rolimey® VioGloss Bee Venom Dental Therapy Oral Power a GREAT CHOICE:

✓ Approved by the BZÄK and recommended by dentists.
✓ Effectively treats a wide range of oral problems.
✓ Fights plaque, bad breath, receding gums, bleeding gums and more.
✓ Side effect-free formula made from 100% natural herbs.
✓ CE-tested and safe for consumption
✓ Suitable for all ages, including children, young adults and seniors
✓ Rolimey® VioGloss Bee Venom Dental Therapy Oral Power is powered by the latest advances in oral care technology.
✓ It offers a convenient addition to your daily hygiene routine for long-lasting results.
✓ Economical and affordable, offers a cost-effective solution to maintaining optimal oral health.
Here are some of our satisfied customers:
“I was struggling with plaque buildup and receding gums, which caused swollen, painful gums and made eating or drinking hot and cold foods uncomfortable. My dentist recommended I try Rolimey® VioGloss Oral Powder , so I started using it about four days ago. After just a few days, I noticed my gum inflammation subsiding, and by the end of the first week, my gums felt much less swollen and sensitive. Now, after regular use, my gums feel stronger and healthier, and brushing my teeth is no longer painful. Thanks to this powder, I can comfortably enjoy my favorite foods and drinks again, and I feel like I have more control over my gum health than before.” – Diana Steele, 38
“I was struggling with plaque buildup and receding gums, which caused swollen, painful gums and made eating or drinking hot and cold foods uncomfortable. My dentist recommended I try Rolimey® VioGloss Oral Powder , so I started using it about four days ago. After just a few days, I noticed my gum inflammation subsiding, and by the end of the first week, my gums felt much less swollen and sensitive. Now, after regular use, my gums feel stronger and healthier, and brushing my teeth is no longer painful. Thanks to this powder, I can comfortably enjoy my favorite foods and drinks again, and I feel like I have more control over my gum health than before.” – Diana Steele, 38
Instructions for use
1. Turn the container and remove the protective cover.
2. Take an appropriate amount of tooth powder and place it on the lid.
3. After soaking your toothbrush in water, dip it into the tooth powder.
4. Brush your teeth as usual for 2 to 3 minutes and then rinse your mouth thoroughly.
FAQ
- What is Oral Powder?
Rolimey® Oral Powder is a dental care product that serves as an alternative to toothpaste. To use, dip a moist toothbrush into the powder or sprinkle a small amount onto the brush and brush as usual. - Can people with sensitive teeth use Oral Powder?
Yes, Rolimey® Oral Powder uses high-quality bee vein powder combined with a natural, gentle formula specifically developed for sensitive teeth. It penetrates deep into the exposed dentin tubules, which may contain sensitive nerve endings, effectively preventing pain at the source. It is designed to protect sensitive areas of the teeth and, with continued use, can relieve sensitivity symptoms for up to 24 hours. - Can I use it on ceramic dental work?
Yes, Rolimey® Oral Powder contains five proven, powerful natural ingredients and a gentle formula. Our low-abrasive powder is gentle on tooth enamel and can be used alone or with toothpaste. Used and recommended by dentists, Rolimey® Oral Powder is enamel-friendly and highly effective. - Do I need to brush with toothpaste after using Tooth Powder?
Rolimey® Oral Powder is formulated to provide a complete clean and improve oral health, so it’s not necessary to use toothpaste afterward. However, if you prefer the added benefits of fluoride or a fresher feeling, you can follow with a small amount of toothpaste. - Is there a chemical smell when used?
No, Rolimey® Oral Powder is made from an all-natural, alcohol-free, and chemical-free formula that minimizes exposure to potentially harmful chemicals. It has a refreshing mint flavor when used. Our goal is to offer healthier and more environmentally friendly options, and the Rolimey® Oral Powder container and lid are recyclable. - If used on mouth sores, will the affected area experience a burning sensation?
No, Rolimey® Oral Powder is made from a gentle formula and does not cause a burning sensation like other alcohol-based oral care products. Rolimey®’s powerful bee vein formula targets plaque and other foreign matter, reducing the risk of problems like bad breath, gingivitis, cavities, tonsil stones, and mouth ulcers.
INCLUSIVE PACKAGE
Welcome to LimetowShop – Your Trusted Global Online Shopping Destination
Since 2019, LimetowShop has been connecting shoppers worldwide with high-quality, innovative, and trending products. We are dedicated to delivering a seamless e-commerce experience, offering exceptional customer service, competitive prices, and fast, reliable shipping. Our carefully curated selection covers the latest must-have items, making us the go-to choice for value, quality, and convenience in global online shopping.
Shipping Details
At LimetowShop, we understand the value of fast and reliable delivery. All orders are processed within 3 to 5 business days, with standard shipping times of approximately 2 to 3 weeks depending on your location. From order confirmation to final delivery, we provide regular updates to ensure transparency, trust, and peace of mind for every customer.
Easy Returns
Shopping with LimetowShop is completely risk free. If any product does not meet your expectations, our simple return policy allows you to request a return within 30 days. Customers are responsible for return shipping, and our friendly support team is always ready to guide you through every step, ensuring a smooth and stress free experience.
100% Money-Back Guarantee
Your satisfaction is our top priority and at LimetowShop we back every order with a 30 day money back guarantee. If you are not completely satisfied, whether you prefer a replacement or a refund, our team will handle it quickly. We are dedicated to delivering a reliable and seamless shopping experience for every customer.
TERMS & CONDITIONS REFUND & RETURNS POLICY PRIVACY POLICY CONTACT US
Disclaimer: This product is not intended to diagnose, treat, cure, or prevent any disease. Individual results may vary. This product is designed for general wellness and personal care use only. Please consult a qualified healthcare professional before use, especially if you have a pre-existing medical condition, are pregnant, or are taking medication.

























